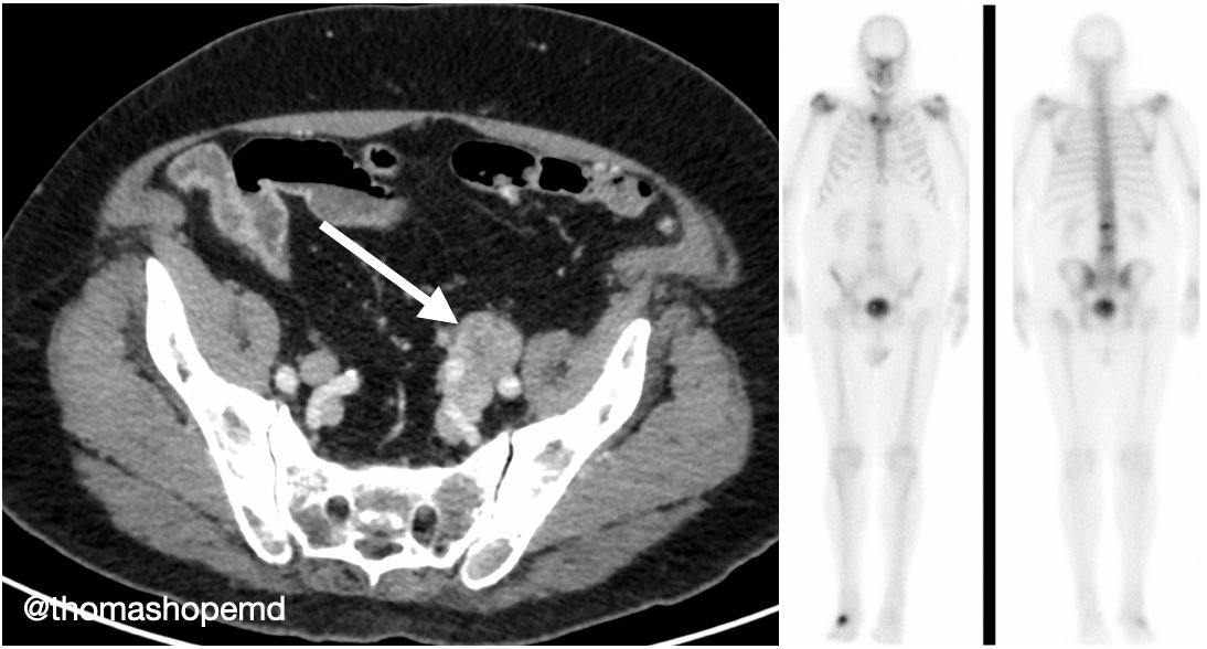
1/ Would you order a #PSMAPET in a patient post-RP with BCR and N1 disease on conventional imaging? What about this patient? PSA rose from 0.3 to over 50 in three years after surgery. 2.8 cm left pelvic node on CT with no other sites of disease including a negative bone scan.
2/ The problem in the US, is that private insurance companies will not cover advanced imaging until conventional imaging has been performed and is negative. This is particularly true for fluciclovine, which is setting a worrisome trend for PSMA...
3/ This patient received a #PSMAPET which showed an additional subcentimeter lesion in L4. The patient would have been treated with salvage RT, boost to the node, with ADT. What to do now is debatable, but if RT is performed, would likely include the bone lesion…
4/ If you would order a #PSMAPET in the setting of positive conventional imaging, then what is the point of requiring conventional imaging prior to PSMA PET? It seems the only role of conventional imaging is to understand how to apply old trial data.
5/ How do we convince private insurers to require prior conventional imaging? #ProPSMA makes a strong argument in the initial staging setting. We have a lot of work to do to not only increase availability, but more importantly widespread coverage beyond Medicare.
You can follow @thomashopemd.
Tip: mention @twtextapp on a Twitter thread with the keyword “unroll” to get a link to it.

Latest Threads Unrolled:

By continuing to use the site, you are consenting to the use of cookies as explained in our Cookie Policy to improve your experience.