1/2
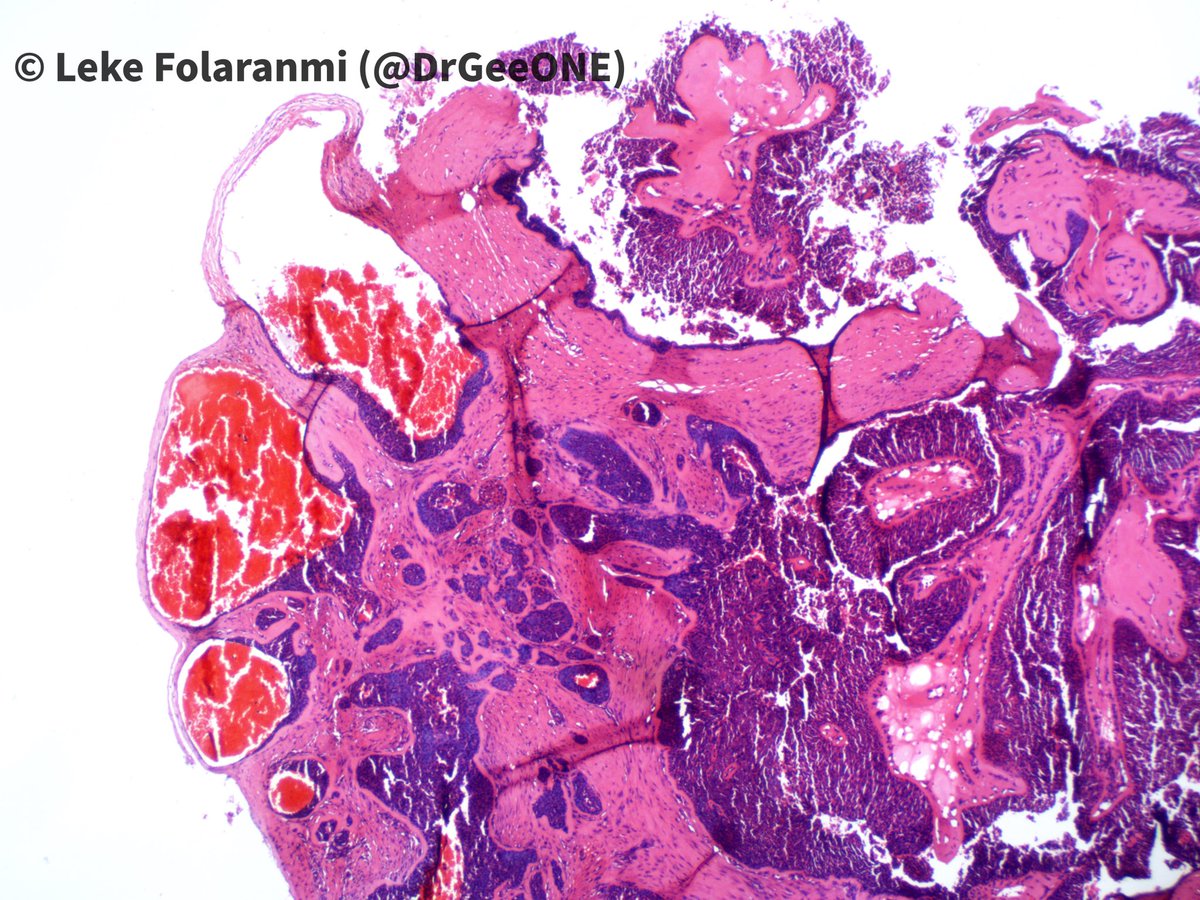
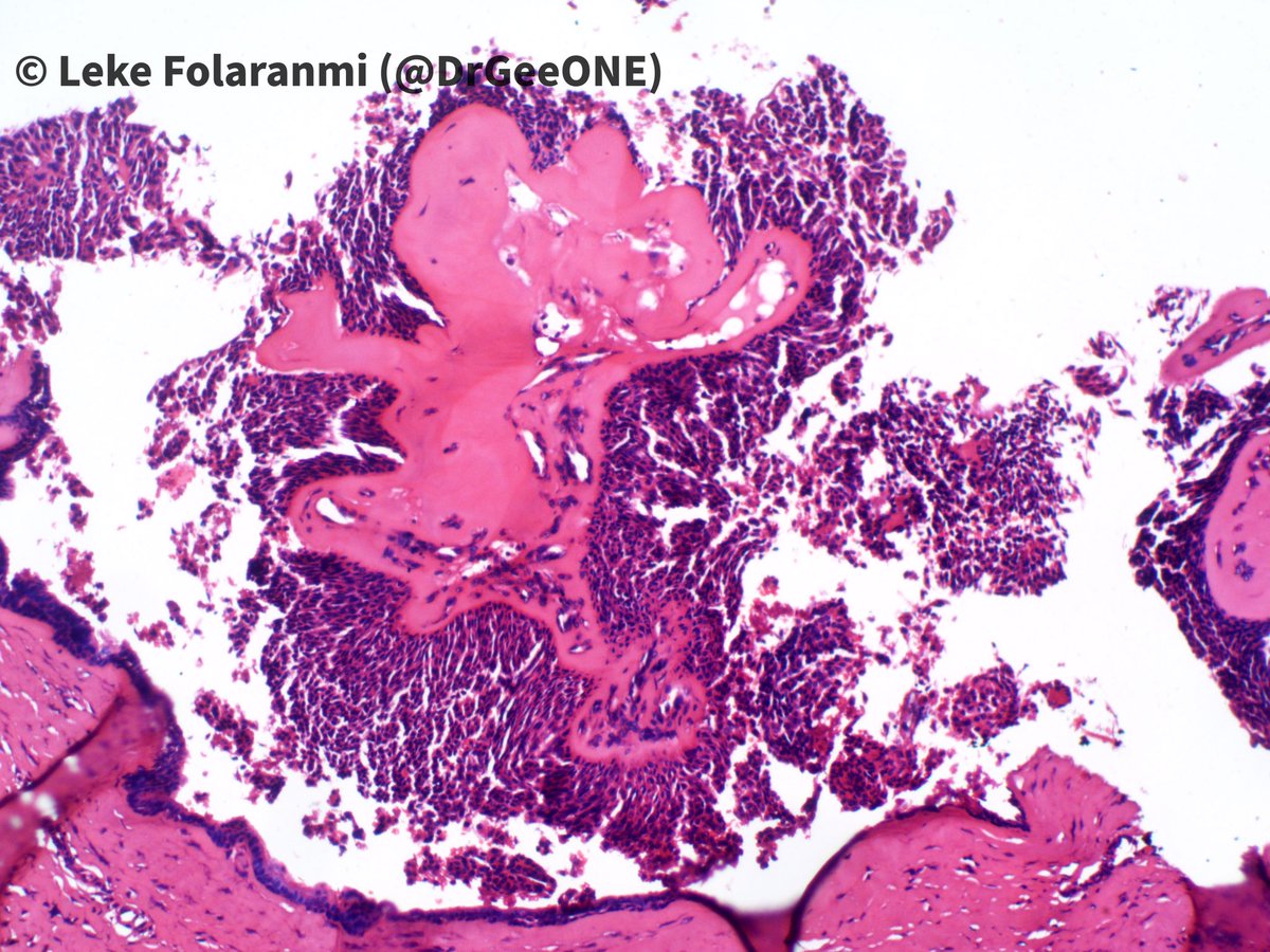
Nodular finger mass in a young female.
Duration: 2 years
I’m torn between 2 worlds: Nodular/cystic hidradenoma vs Aggressive Digital Papillary Adenocarcinoma.
https://abs.twimg.com/emoji/v2/... draggable="false" alt="🤦🏽♂️" title="Mann schlägt sich die Hand vors Gesicht (mittlerer Hautton)" aria-label="Emoji: Mann schlägt sich die Hand vors Gesicht (mittlerer Hautton)">
https://abs.twimg.com/emoji/v2/... draggable="false" alt="🙆🏾♂️" title="Mann gestikuliert „OK“ (durchschnittlich dunkler Hautton)" aria-label="Emoji: Mann gestikuliert „OK“ (durchschnittlich dunkler Hautton)">
What are your thoughts?
#Dermpath
Nodular finger mass in a young female.
Duration: 2 years
I’m torn between 2 worlds: Nodular/cystic hidradenoma vs Aggressive Digital Papillary Adenocarcinoma.
What are your thoughts?
#Dermpath
Read on Twitter
https://abs.twimg.com/emoji/v2/... draggable="false" alt="🙆🏾♂️" title="Mann gestikuliert „OK“ (durchschnittlich dunkler Hautton)" aria-label="Emoji: Mann gestikuliert „OK“ (durchschnittlich dunkler Hautton)">What are your thoughts? #Dermpath" title="1/2 Nodular finger mass in a young female.Duration: 2 yearsI’m torn between 2 worlds: Nodular/cystic hidradenoma vs Aggressive Digital Papillary Adenocarcinoma. https://abs.twimg.com/emoji/v2/... draggable="false" alt="🤦🏽♂️" title="Mann schlägt sich die Hand vors Gesicht (mittlerer Hautton)" aria-label="Emoji: Mann schlägt sich die Hand vors Gesicht (mittlerer Hautton)">https://abs.twimg.com/emoji/v2/... draggable="false" alt="🙆🏾♂️" title="Mann gestikuliert „OK“ (durchschnittlich dunkler Hautton)" aria-label="Emoji: Mann gestikuliert „OK“ (durchschnittlich dunkler Hautton)">What are your thoughts? #Dermpath">
https://abs.twimg.com/emoji/v2/... draggable="false" alt="🙆🏾♂️" title="Mann gestikuliert „OK“ (durchschnittlich dunkler Hautton)" aria-label="Emoji: Mann gestikuliert „OK“ (durchschnittlich dunkler Hautton)">What are your thoughts? #Dermpath" title="1/2 Nodular finger mass in a young female.Duration: 2 yearsI’m torn between 2 worlds: Nodular/cystic hidradenoma vs Aggressive Digital Papillary Adenocarcinoma. https://abs.twimg.com/emoji/v2/... draggable="false" alt="🤦🏽♂️" title="Mann schlägt sich die Hand vors Gesicht (mittlerer Hautton)" aria-label="Emoji: Mann schlägt sich die Hand vors Gesicht (mittlerer Hautton)">https://abs.twimg.com/emoji/v2/... draggable="false" alt="🙆🏾♂️" title="Mann gestikuliert „OK“ (durchschnittlich dunkler Hautton)" aria-label="Emoji: Mann gestikuliert „OK“ (durchschnittlich dunkler Hautton)">What are your thoughts? #Dermpath">
https://abs.twimg.com/emoji/v2/... draggable="false" alt="🙆🏾♂️" title="Mann gestikuliert „OK“ (durchschnittlich dunkler Hautton)" aria-label="Emoji: Mann gestikuliert „OK“ (durchschnittlich dunkler Hautton)">What are your thoughts? #Dermpath" title="1/2 Nodular finger mass in a young female.Duration: 2 yearsI’m torn between 2 worlds: Nodular/cystic hidradenoma vs Aggressive Digital Papillary Adenocarcinoma. https://abs.twimg.com/emoji/v2/... draggable="false" alt="🤦🏽♂️" title="Mann schlägt sich die Hand vors Gesicht (mittlerer Hautton)" aria-label="Emoji: Mann schlägt sich die Hand vors Gesicht (mittlerer Hautton)">https://abs.twimg.com/emoji/v2/... draggable="false" alt="🙆🏾♂️" title="Mann gestikuliert „OK“ (durchschnittlich dunkler Hautton)" aria-label="Emoji: Mann gestikuliert „OK“ (durchschnittlich dunkler Hautton)">What are your thoughts? #Dermpath">
https://abs.twimg.com/emoji/v2/... draggable="false" alt="🙆🏾♂️" title="Mann gestikuliert „OK“ (durchschnittlich dunkler Hautton)" aria-label="Emoji: Mann gestikuliert „OK“ (durchschnittlich dunkler Hautton)">What are your thoughts? #Dermpath" title="1/2 Nodular finger mass in a young female.Duration: 2 yearsI’m torn between 2 worlds: Nodular/cystic hidradenoma vs Aggressive Digital Papillary Adenocarcinoma. https://abs.twimg.com/emoji/v2/... draggable="false" alt="🤦🏽♂️" title="Mann schlägt sich die Hand vors Gesicht (mittlerer Hautton)" aria-label="Emoji: Mann schlägt sich die Hand vors Gesicht (mittlerer Hautton)">https://abs.twimg.com/emoji/v2/... draggable="false" alt="🙆🏾♂️" title="Mann gestikuliert „OK“ (durchschnittlich dunkler Hautton)" aria-label="Emoji: Mann gestikuliert „OK“ (durchschnittlich dunkler Hautton)">What are your thoughts? #Dermpath">