Retour sur une fin de garde terrible…
#VieMaVieDeNeurochir
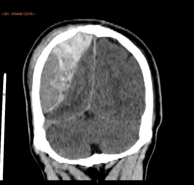
1- Hier: 14ans chute de vélo non casqué
https://abs.twimg.com/emoji/v2/... draggable="false" alt="💀" title="Schädel" aria-label="Emoji: Schädel"> dans les escaliers, trauma crânien sans perte de connaissance...
Quelques heures après violents maux de tête, vomissements, somnolence
Hospitalisé GRATUITEMENT aux URGENCES pour scanner:
- fracture du crâne
- gros hématome extradural
Quelques heures après violents maux de tête, vomissements, somnolence
Hospitalisé GRATUITEMENT aux URGENCES pour scanner:
- fracture du crâne
- gros hématome extradural
2- Aggravation sur crise d’épilepsie, intubation, sédation puis transfert en Hélico de Trévenans...
Vers le bloc de chirurgie pédiatrique… installation sur têtière…tout se présentait pourtant bien
Incision, craniotomie (ouverture du crâne) évacuation de l’hématome jusqu’à …
Vers le bloc de chirurgie pédiatrique… installation sur têtière…tout se présentait pourtant bien
Incision, craniotomie (ouverture du crâne) évacuation de l’hématome jusqu’à …
3- La survenue d’un saignement massif à la partie postérieure du volet sur une déchirure du sinus sagittal supérieur provoquée par la disjonction de la suture osseuse sagittale par la fracture…
Enfin, ça c’est ce que j& #39;ai pensé parce qu’on était noyé par l& #39;hémorragie
Enfin, ça c’est ce que j& #39;ai pensé parce qu’on était noyé par l& #39;hémorragie
4- Poème de l& #39;opération
Flot de sang bleu en nappe - COMPRENDRE
Aucune visibilité - VOIR - NE PAS VOIR
Coeur qui palpite
mains qui tremblent
voix qui montent - AGIR
Gaze hémostatique
Compresse - TAMPONNER
Fils porte-aiguille tractions pinces - FAIRE CONTREPRESSION
Et espérer
Flot de sang bleu en nappe - COMPRENDRE
Aucune visibilité - VOIR - NE PAS VOIR
Coeur qui palpite
mains qui tremblent
voix qui montent - AGIR
Gaze hémostatique
Compresse - TAMPONNER
Fils porte-aiguille tractions pinces - FAIRE CONTREPRESSION
Et espérer
Plus de tension
plus de saturation
la blancheur de la mort qui emplit tout
le corps et les esprits - SE REPRENDRE
Faire front
Piquer
Perfuser
Remplir
Pousser - DU SANG
du sang VITE
pour conjurer le sort
du sang encore encore
pour que renaisse l’âme du blessé
des minutes sans fins
plus de saturation
la blancheur de la mort qui emplit tout
le corps et les esprits - SE REPRENDRE
Faire front
Piquer
Perfuser
Remplir
Pousser - DU SANG
du sang VITE
pour conjurer le sort
du sang encore encore
pour que renaisse l’âme du blessé
des minutes sans fins
De l’autre côté du champ - REGARDER
au ralenti le ballet
bras
têtes
angoisses
poches
tubulures
Et moi
comprimer
aspirer - POMPER et RECYCLER
le sang encore
calmer l& #39;hémorragie - DOMPTER le sang
gagner du temps - DU TEMPS
encore un peu de temps
par pitié
tout sauf la mort
au ralenti le ballet
bras
têtes
angoisses
poches
tubulures
Et moi
comprimer
aspirer - POMPER et RECYCLER
le sang encore
calmer l& #39;hémorragie - DOMPTER le sang
gagner du temps - DU TEMPS
encore un peu de temps
par pitié
tout sauf la mort
- IMPLORER
C’est le coeur qui revient en premier
document au début
comme le bip-bip des oiseaux dans le feuillage
la tension qui refleurit
comme un printemps timide après l’hibernation des corps
C’est la peau de rose
qui rosit
sous le soleil des scialitiques
et la vie - LA VIE
C’est le coeur qui revient en premier
document au début
comme le bip-bip des oiseaux dans le feuillage
la tension qui refleurit
comme un printemps timide après l’hibernation des corps
C’est la peau de rose
qui rosit
sous le soleil des scialitiques
et la vie - LA VIE
Et un espoir fou
qui inonde nos coeurs
comme le sang inonde la vie
Parachever
Riveter
Drainer
Suturer
Laver
Panser
Bercer
Réanimer
Et au petit matin
venir cueillir la fleur de la vie sauvée
de la nuit
qui inonde nos coeurs
comme le sang inonde la vie
Parachever
Riveter
Drainer
Suturer
Laver
Panser
Bercer
Réanimer
Et au petit matin
venir cueillir la fleur de la vie sauvée
de la nuit
Read on Twitter
dans les escaliers, trauma crânien sans perte de connaissance...Quelques heures après violents maux de tête, vomissements, somnolenceHospitalisé GRATUITEMENT aux URGENCES pour scanner:- fracture du crâne- gros hématome extradural" title="1- Hier: 14ans chute de vélo non casqué https://abs.twimg.com/emoji/v2/... draggable="false" alt="💀" title="Schädel" aria-label="Emoji: Schädel"> dans les escaliers, trauma crânien sans perte de connaissance...Quelques heures après violents maux de tête, vomissements, somnolenceHospitalisé GRATUITEMENT aux URGENCES pour scanner:- fracture du crâne- gros hématome extradural">
dans les escaliers, trauma crânien sans perte de connaissance...Quelques heures après violents maux de tête, vomissements, somnolenceHospitalisé GRATUITEMENT aux URGENCES pour scanner:- fracture du crâne- gros hématome extradural" title="1- Hier: 14ans chute de vélo non casqué https://abs.twimg.com/emoji/v2/... draggable="false" alt="💀" title="Schädel" aria-label="Emoji: Schädel"> dans les escaliers, trauma crânien sans perte de connaissance...Quelques heures après violents maux de tête, vomissements, somnolenceHospitalisé GRATUITEMENT aux URGENCES pour scanner:- fracture du crâne- gros hématome extradural">
dans les escaliers, trauma crânien sans perte de connaissance...Quelques heures après violents maux de tête, vomissements, somnolenceHospitalisé GRATUITEMENT aux URGENCES pour scanner:- fracture du crâne- gros hématome extradural" title="1- Hier: 14ans chute de vélo non casqué https://abs.twimg.com/emoji/v2/... draggable="false" alt="💀" title="Schädel" aria-label="Emoji: Schädel"> dans les escaliers, trauma crânien sans perte de connaissance...Quelques heures après violents maux de tête, vomissements, somnolenceHospitalisé GRATUITEMENT aux URGENCES pour scanner:- fracture du crâne- gros hématome extradural">