You grind your teeth because your bite is “off” .
Your face hurts in the morning because you’ve been grinding all night or you wake up with a migraine.
YOU HAVE TMJ/TMD . GO SEE A NEUROMUSCULAR DENTIST!!!!!
Your face hurts in the morning because you’ve been grinding all night or you wake up with a migraine.
YOU HAVE TMJ/TMD . GO SEE A NEUROMUSCULAR DENTIST!!!!!
I will answer any question about TMJ FOR FREEEEEE.
Untreated TMJ/TMD problems lead to premature tooth loss. Your parents didn’t have “bad teeth” they had an unresolved bite problem . And if you don’t fix yours you’ll be in dentures just like them
Untreated TMJ/TMD problems lead to premature tooth loss. Your parents didn’t have “bad teeth” they had an unresolved bite problem . And if you don’t fix yours you’ll be in dentures just like them

Your general dentist 𝗗𝗢𝗘𝗦 𝗡𝗢𝗧 𝗞𝗡𝗢𝗪 𝗛𝗢𝗪 𝗧𝗢 𝗧𝗥𝗘𝗔𝗧 𝗧𝗛𝗜𝗦 , which is is why he recommended a night guard 
.
A 𝙽𝚒𝚐𝚑𝚝 𝙶𝚞𝚊𝚛𝚍 is the equivalent of putting a band-aid on a wound gushing blood that clearly needs stitches.

. A 𝙽𝚒𝚐𝚑𝚝 𝙶𝚞𝚊𝚛𝚍 is the equivalent of putting a band-aid on a wound gushing blood that clearly needs stitches.
𝔹𝕠𝕥𝕠𝕩 𝕗𝕠𝕣 𝕄𝕚𝕘𝕣𝕒𝕚𝕟𝕖𝕤 𝕚𝕤 𝕤𝕚𝕞𝕡𝕝𝕪 𝕒 𝕨𝕒𝕪 𝕥𝕠 𝕞𝕒𝕤𝕜 𝕪𝕠𝕦𝕣 𝕤𝕪𝕞𝕡𝕥𝕠𝕞𝕤!!!!! . It’s like when an athlete keeps getting cortisone shots
on the sideline , so he can play through an injury.
on the sideline , so he can play through an injury.
You either have: pain symptoms that you’ve normalized , Damaging your teeth ( missing teeth, Root canals, GRINDING / teeth slowly becoming “shorter” ) or a combination of both.
Your teeth are not supposed to straight all the way across!!!! You are chipping your teeth away!
Your teeth are not supposed to straight all the way across!!!! You are chipping your teeth away!
I had no intentions of making a TMJ thread at 1 am it just kinda happened . It’s very disorganized ( sorry
) ,
but lets pick up where I left off....
) , but lets pick up where I left off....
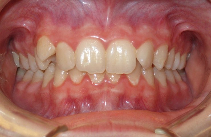
Have you been told you have a “Deep Bite”? YOU ARE OVERCLOSED. Your upper&lower jaws are misaligned.
Your upper front teeth may excessively overlap the lower teeth, and the lower teeth may bite into the roof of your mouth.
Your upper front teeth may excessively overlap the lower teeth, and the lower teeth may bite into the roof of your mouth.
When I say excessively overlap , I mean you can barely see your lower teeth. ( or maybe not at all)
As shown in the image below,this patient was overclosed / deep bite. After having his TMJ corrected , his jaw relationship has been fixed and you can see his lower teeth now.
As shown in the image below,this patient was overclosed / deep bite. After having his TMJ corrected , his jaw relationship has been fixed and you can see his lower teeth now.
Again, you’re probably wondering why your Dentist has not diagnosed you with this problem. He/she can’t. They don’t know how and honestly it’s not their fault. Neuromuscular dentistry is NOT taught in American Dental school. ( It is in Asia and South America
)
)
Also, the profit margins for night guards are really good. They can charge you $400-$700, for a clear Tray that only cost them $60-$120. 



𝙎𝙤 𝙝𝙤𝙬 𝙙𝙤 𝙄 𝙛𝙞𝙭 𝙩𝙝𝙞𝙨??
1 . Google Neuromusclar dentist______ (insert city you live)
2. He/She will recommend a jaw repostioing device/ orthotic
( This will move your jaw into the correct position)
3. Once your jaw is in the correct position. METAL BRACES
1 . Google Neuromusclar dentist______ (insert city you live)
2. He/She will recommend a jaw repostioing device/ orthotic
( This will move your jaw into the correct position)
3. Once your jaw is in the correct position. METAL BRACES
The orthotic gets your jaws in the right position, then the braces move ( extrusion ) the teeth into the new corrected position.
NO SURGERY INVOLVED!!!!!
No more migraines, headaches , botox, nightguards. You’re free!
NO SURGERY INVOLVED!!!!!
No more migraines, headaches , botox, nightguards. You’re free!
𝙒𝙞𝙡𝙡 𝙢𝙮 𝙞𝙣𝙨𝙪𝙧𝙖𝙣𝙘𝙚 𝙘𝙤𝙫𝙚𝙧 𝙩𝙝𝙞𝙨?
This is where it gets tricky. Phase 1, moving the jaws IS NOT COVERED BY DENTAL ibecause it is not a dental problem. Its a joint problem.
Medical DOES cover this, however 99% of dental offices do not know how to bill for it
This is where it gets tricky. Phase 1, moving the jaws IS NOT COVERED BY DENTAL ibecause it is not a dental problem. Its a joint problem.
Medical DOES cover this, however 99% of dental offices do not know how to bill for it
But I do. As long as you have TMJ coverage in your medical plan I CAN GET YOU REIMBURSED!
Again, you didn’t inherit “bad teeth” from your parents . They had a bite problem and so do you. As you get older the pain will get worse as your TMJ joint breaks down ........And you’ll begin to lose teeth no matter how good your hygiene is.
You will never stop grinding until you fix the problem (it’ll just get worse) Your bite is off and unbalanced, your body is subconsciously trying to self repair and “fix” the problem while you sleep at night.
You wake up feeling tired and groggy even if you got 8+ hours of sleep at night , because your body was never at rest. It was grinding all night long. You never made it REM ( Deep sleep)
70% of the world has an unresolved bite problem and by the time , if ever, they figure it out , they’ve already spend THOUSANDS in dental repairs.
Majority of you reading this thread right now have TMJ/TMD. I’ve detailed exactly how to resolve this. GO GET IT FIXED!!!!!!
Majority of you reading this thread right now have TMJ/TMD. I’ve detailed exactly how to resolve this. GO GET IT FIXED!!!!!!
If you have any additional questions about this , please contact me via email or DM.
Read on Twitter