Thread on things I have found when I started staining urine .Urine analysis is an important part of routine diagnosis, it reveals a lot about general well-being. Staining samples is often avoided partly because of a lack of know how. However alot of interesting things can be
discovered using simple in-house non diffential stains like Diff Quick, and Gimesa. Both of which& #39;re affordable stains that& #39;ll give results in less than 24 hours .The techniques of urine collection and slide preparation will be discussed in the near future . Oya lettus begin
BACTERIA
If you are suspecting a UTI staining gives you an idea of the type(s)of bacteria responsible. Based on the morphology seen it& #39;ll be possible to determine this .Here the infection is mixed . Different types of bacteria are seen in the photo from this sample
If you are suspecting a UTI staining gives you an idea of the type(s)of bacteria responsible. Based on the morphology seen it& #39;ll be possible to determine this .Here the infection is mixed . Different types of bacteria are seen in the photo from this sample
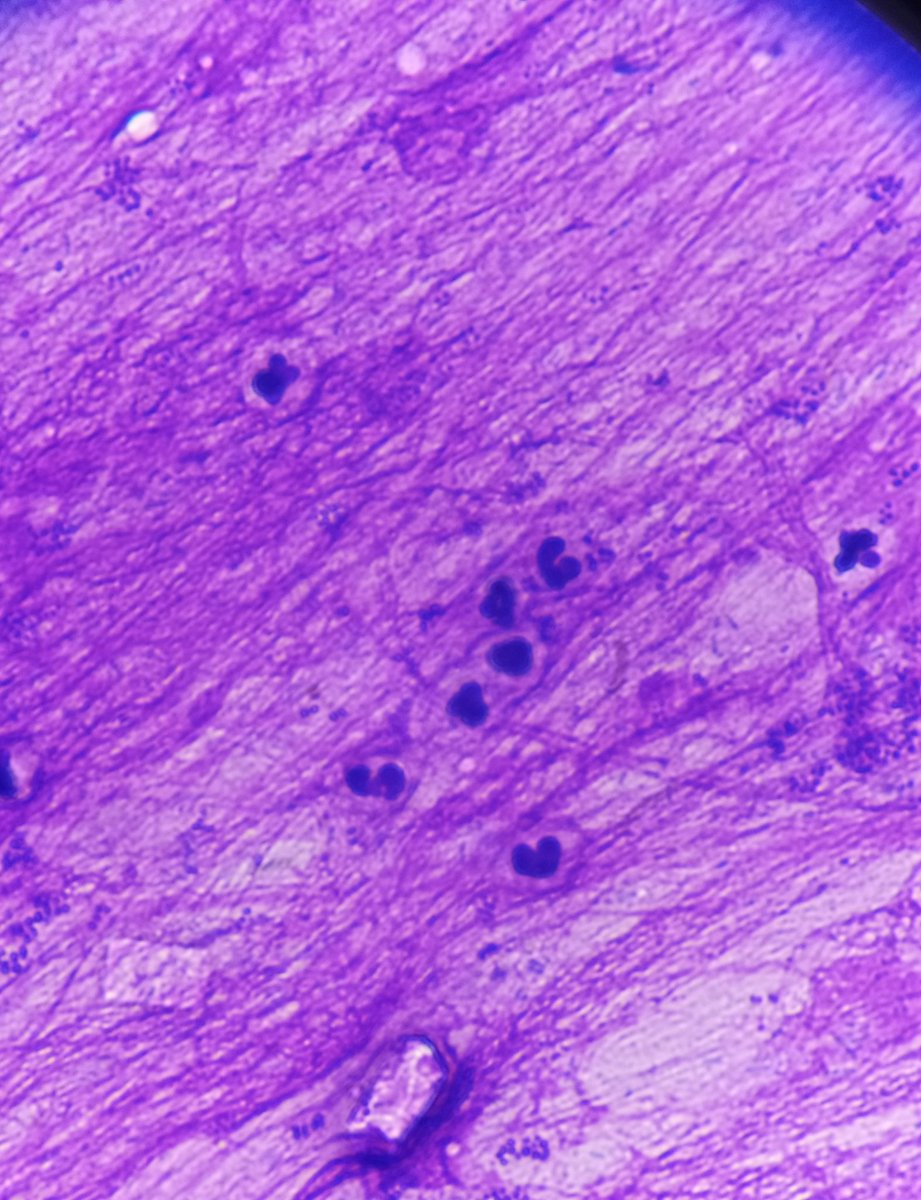
WHITE BLOOD CELLs (WBCs), AND FIBRIN
Presence of WBCs in urine predominantly neutrophils (as seen below) suggests an acute bacterial cystitis, pyelonephritis or interstitial nephritis. Mucous or Fibrin strands (purple strands in the photo) are commonly found lining the surfaces
Presence of WBCs in urine predominantly neutrophils (as seen below) suggests an acute bacterial cystitis, pyelonephritis or interstitial nephritis. Mucous or Fibrin strands (purple strands in the photo) are commonly found lining the surfaces
Of the Urogenital System. During an infection or inflammation there is an increase in production hence secretion of mucus & fibrin along the tract system. This& #39;ll make voided urine slimy like okra ..ewwww
https://abs.twimg.com/emoji/v2/... draggable="false" alt="😩" title="Mattes Gesicht" aria-label="Emoji: Mattes Gesicht">
https://abs.twimg.com/emoji/v2/... draggable="false" alt="😩" title="Mattes Gesicht" aria-label="Emoji: Mattes Gesicht">
https://abs.twimg.com/emoji/v2/... draggable="false" alt="😩" title="Mattes Gesicht" aria-label="Emoji: Mattes Gesicht">
EPITHELIAL CELLS
These& #39;re cells lining the surfaces of the urinary tract .It therefore not out of place to see them in urine. These transitional epithelial cells (below)& #39;re common in samples collected using catheters and
These& #39;re cells lining the surfaces of the urinary tract .It therefore not out of place to see them in urine. These transitional epithelial cells (below)& #39;re common in samples collected using catheters and
increased numbers are associated with infections (cystitis- infection in the urinary bladder as is the case here ) .Large
clumps or sheets of these cells may be
seen with transitional cell carcinoma ( a kind of urinary bladder tumor)
clumps or sheets of these cells may be
seen with transitional cell carcinoma ( a kind of urinary bladder tumor)
CRYSTALS
Develop when are too many minerals in a the urine, these minerals aggregate to form crystals. Crystals will become stones. This condition is called Urolithiasis .The crystals below& #39;re called struvite urolithis. They form when urine is alkaline & there& #39;s a secondary
Develop when are too many minerals in a the urine, these minerals aggregate to form crystals. Crystals will become stones. This condition is called Urolithiasis .The crystals below& #39;re called struvite urolithis. They form when urine is alkaline & there& #39;s a secondary
bacteria infection especially by a urease + Bacteria .Feeding pets vegetable- based diet& #39;ll at some point lead to formation of struvite crystals. Crystals cause severe cystitis,renal failure isnt uncommon left untreated. Abnormal patterns of urination is a pointer some of these.
To be continued
https://abs.twimg.com/emoji/v2/... draggable="false" alt="😇" title="Lächelndes Gesicht mit Heiligenschein" aria-label="Emoji: Lächelndes Gesicht mit Heiligenschein">
https://abs.twimg.com/emoji/v2/... draggable="false" alt="🙏" title="Folded hands" aria-label="Emoji: Folded hands">
https://abs.twimg.com/emoji/v2/... draggable="false" alt="🙌" title="Raising hands" aria-label="Emoji: Raising hands">
Read on Twitter