What I Learned in 2 Years of Microdosing Psychedelics
Since high school I’ve experimented w/psychedelics in some form or fashion
For the past 2 years I’ve been intentionally taking psychedelics in small doses.
This is called microdosing.
Here’s what I’ve learned
*THREAD*
Since high school I’ve experimented w/psychedelics in some form or fashion
For the past 2 years I’ve been intentionally taking psychedelics in small doses.
This is called microdosing.
Here’s what I’ve learned
*THREAD*
First off this thread is for educational purposes.
I don’t condone the use of drugs but I'm not against it.
Based on my experience this stuff is not to be messed with because we are altering brain chemistry.
As with all things YMMV, DYOR & please be responsible.
I don’t condone the use of drugs but I'm not against it.
Based on my experience this stuff is not to be messed with because we are altering brain chemistry.
As with all things YMMV, DYOR & please be responsible.
First of all, what is Microdosing (MD)?
It's the practice of taking very small amounts of a drug.
You could MD weed, LSD, psilocybin, MDMA & many other drugs.
For this purpose we're going to talk about LSD & psilocybin (mushrooms) as I only have experience with these.
It's the practice of taking very small amounts of a drug.
You could MD weed, LSD, psilocybin, MDMA & many other drugs.
For this purpose we're going to talk about LSD & psilocybin (mushrooms) as I only have experience with these.
Who is Microdosing for?
I first learned of microdosing from my founder friends.
Past 2 years I’ve seen everyone from entrepreneurs to stay-at-home moms MD for variety of reasons.
Everyone’s got their grounds to microdose.
Here are mine…
I first learned of microdosing from my founder friends.
Past 2 years I’ve seen everyone from entrepreneurs to stay-at-home moms MD for variety of reasons.
Everyone’s got their grounds to microdose.
Here are mine…
1. Subtle shift in perspective.
Our brains are habit machines.
They develop grooves and patterns of thought over time.
Microdosing may help one create better perceptions in their brain.
Our brains are habit machines.
They develop grooves and patterns of thought over time.
Microdosing may help one create better perceptions in their brain.
2. Boost in Mood
A study led by cognitive scientists Vince Polito found microdosers reported lower levels of stress & depression.
I wouldn't consider myself to be depressed by any means but I'm not the happiest person either.
Would this bring more peace to my life? Maybe.
A study led by cognitive scientists Vince Polito found microdosers reported lower levels of stress & depression.
I wouldn't consider myself to be depressed by any means but I'm not the happiest person either.
Would this bring more peace to my life? Maybe.
3. Expand My Reality
I was tired of playing the small game.
I built a local brick and mortar gym biz to 7 figures but I felt I had more to give to the world.
I wanted to use MD as a tool to break my ceilings & reach for an even higher level of success.
I was tired of playing the small game.
I built a local brick and mortar gym biz to 7 figures but I felt I had more to give to the world.
I wanted to use MD as a tool to break my ceilings & reach for an even higher level of success.
What does Microdosing do?
Our brains are habitual. They run through the same thoughts over & over until they build grooves.
Think of it like skiing down a hill that's been skied 1 million times.
The brain develops grooves much like the hill.
MD helps smooth those grooves.
Our brains are habitual. They run through the same thoughts over & over until they build grooves.
Think of it like skiing down a hill that's been skied 1 million times.
The brain develops grooves much like the hill.
MD helps smooth those grooves.
Why? Psychedelics does a good job of turning off the brains Default Mode Network (the ski hill).
The default mode network is a brain structure that connect the cortex to the areas involved with memory, emotion & self reflection.
The default mode network is a brain structure that connect the cortex to the areas involved with memory, emotion & self reflection.
When researchers imaged people's brains on psychedelics they found the default mode network to be suppressed.
Some reported that the ego is suppressed to a large extent because it resides in the default mode network.
Some reported that the ego is suppressed to a large extent because it resides in the default mode network.
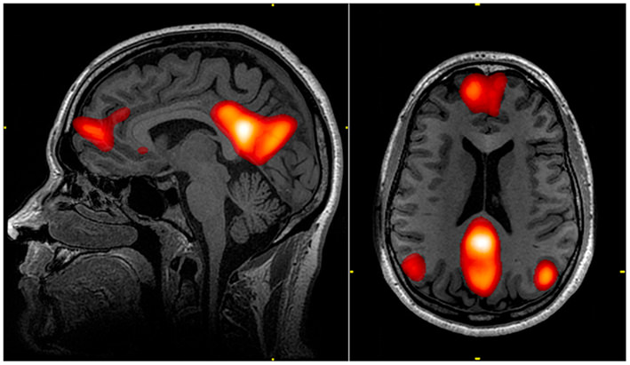
It's as if your brain lets its walls down & start communicating.
Here’s an actual brain scan of someone on psychedelics (pic)
What you’re seeing is normally segregated regions of the brain starting to interact with each other.
Here’s an actual brain scan of someone on psychedelics (pic)
What you’re seeing is normally segregated regions of the brain starting to interact with each other.
For my experiments I used two type of psychedelics:
1. Lysergic acid diethylamide aka. LSD
2. Psilocybin aka. magic mushrooms
Two drugs that are similar yet used for very different purposes...
1. Lysergic acid diethylamide aka. LSD
2. Psilocybin aka. magic mushrooms
Two drugs that are similar yet used for very different purposes...
LSD is akin to a productivity drug.
When I microdose with LSD I want to create & get shit done.
It's also a drug that helps me think more expansively with a tiny doses of introspection.
When I microdose with LSD I want to create & get shit done.
It's also a drug that helps me think more expansively with a tiny doses of introspection.
Psilocybin is more introspective.
It helps me with productivity as well as creativity just like LSD.
But it's main benefit is in going deeper into yourself.
Journaling works great here.
It helps me with productivity as well as creativity just like LSD.
But it's main benefit is in going deeper into yourself.
Journaling works great here.
If I were to take a guess I’d say LSD is 60/40 when it comes to getting shit done & introspection.
Psilocybin is 60/40 in introspection & getting shit done.
This is a ballpark figure please so take with a baseball sized grain of salt.
Psilocybin is 60/40 in introspection & getting shit done.
This is a ballpark figure please so take with a baseball sized grain of salt.
What does MD feel like?
Think of it like a more enhanced nootropic effect.
You know something is there you just don’t know what.
Your sense of awareness feels heightened.
You may feel lighter but not in a disorienting way.
It's subtle.
Think of it like a more enhanced nootropic effect.
You know something is there you just don’t know what.
Your sense of awareness feels heightened.
You may feel lighter but not in a disorienting way.
It's subtle.
How did I microdose?
I microdosed using the Fadiman protocol based on his book (pic)
Here's how it went:
Day One: Microdose.
Day Two: Observe any residual effects.
Day Three: Take a break.
Day Four: Repeat.
I microdosed using the Fadiman protocol based on his book (pic)
Here's how it went:
Day One: Microdose.
Day Two: Observe any residual effects.
Day Three: Take a break.
Day Four: Repeat.
I’d go for 1-2 months on this protocol.
I took complete breaks for 3-4 months.
I did this because one of the dangers of MD’ing is having a mental dependency on the drug (More on this later)
I took complete breaks for 3-4 months.
I did this because one of the dangers of MD’ing is having a mental dependency on the drug (More on this later)
How has microdosing affected my life?
My life has changed a lot since I started.
I cannot attribute these changes primarily to microdosing but I would be ignorant to think it didn’t help.
Here's some things I've achieved...
My life has changed a lot since I started.
I cannot attribute these changes primarily to microdosing but I would be ignorant to think it didn’t help.
Here's some things I've achieved...
Achievements During my MD Experiment
- Sold a business
- Started a new one
- Had a baby
- Earned 7 figures for first time in life
- Built my 1st dream home
- Built this Twitter account
Would all these things happen without it? I'm not sure.
- Sold a business
- Started a new one
- Had a baby
- Earned 7 figures for first time in life
- Built my 1st dream home
- Built this Twitter account
Would all these things happen without it? I'm not sure.
There’s this esoteric quality to microdosing.
The only way to can explain it is that it managed my fear better.
We’re all built with fear inside of us.
I feel MD enabled me to manage the fear & these big decisions I’ve been putting off.
There was less hesitation. More trust.
The only way to can explain it is that it managed my fear better.
We’re all built with fear inside of us.
I feel MD enabled me to manage the fear & these big decisions I’ve been putting off.
There was less hesitation. More trust.
I also feel my mood got better on microdosing.
I don’t consider myself to be a depressed guy but microdosing made me reconsider the term itself.
I feel as if I am a happier person and am able to deal with stress in a more productive way.
I don’t consider myself to be a depressed guy but microdosing made me reconsider the term itself.
I feel as if I am a happier person and am able to deal with stress in a more productive way.
But it wasn’t all sweet.
Microdosing does come with it’s own set of drawbacks.
Just like any medication it will have side effects.
Also like medication, the wrong dose could mess your day up for real.
That said here are some warnings…
Microdosing does come with it’s own set of drawbacks.
Just like any medication it will have side effects.
Also like medication, the wrong dose could mess your day up for real.
That said here are some warnings…
Warning #1 - Microdosing is still in early stage research.
You’re taking drugs that change brain chemistry & this alone is a danger
We are still early & we do not know the long term implications of MD.
We don't know what we don't know & this should be scary.
You’re taking drugs that change brain chemistry & this alone is a danger
We are still early & we do not know the long term implications of MD.
We don't know what we don't know & this should be scary.
Warning #2 - There’s a chance you develop a psychological dependence on this.
Psychedelics are not physically addictive but can be mentally addictive.
You could develop a dependence where you think life is better when you’re microdosing.
This is not a way to live.
Psychedelics are not physically addictive but can be mentally addictive.
You could develop a dependence where you think life is better when you’re microdosing.
This is not a way to live.
Warning #3 - Not taking the proper doses
Most guys I’ve seen MD experiment with bigger than normal doses thinking that “more equals better”.
What they end up doing is develop a tendency to alter reality.
Sometimes they prefer the drug reality to actual reality. Not good.
Most guys I’ve seen MD experiment with bigger than normal doses thinking that “more equals better”.
What they end up doing is develop a tendency to alter reality.
Sometimes they prefer the drug reality to actual reality. Not good.
Warning #4 - Becoming a Psychonaut.
There are people out there who will get too serious about this.
It will become their lives & they will identify with the drug.
Psychedelics are tools to be used. They are not a way to live.
There are people out there who will get too serious about this.
It will become their lives & they will identify with the drug.
Psychedelics are tools to be used. They are not a way to live.
Final Warning - Mental Health Issues
Psychedelics can have a detrimental effect on someone if they have a diagnosed (or undiagnosed) mental health issue.
There’s the real possibility that it could drive one further into their psychosis.
Psychedelics can have a detrimental effect on someone if they have a diagnosed (or undiagnosed) mental health issue.
There’s the real possibility that it could drive one further into their psychosis.
So what should you do?
I can’t tell you what to do with your brain & body.
If you were a friend of mine I’d tell you to tread lightly & not listen to my advice.
If you’re curious then do your own research.
I can’t tell you what to do with your brain & body.
If you were a friend of mine I’d tell you to tread lightly & not listen to my advice.
If you’re curious then do your own research.
Here's a couple resources that got me started:
1. How to change your mind by Michael Pollan
2. A really good day by Ayalet Waldman
3. The Psychedelic Explorer's Guide by James Fadiman
4. http://Thethirdwave.co has many guides on microdosing.
5. A journal to write your thoughts
1. How to change your mind by Michael Pollan
2. A really good day by Ayalet Waldman
3. The Psychedelic Explorer's Guide by James Fadiman
4. http://Thethirdwave.co has many guides on microdosing.
5. A journal to write your thoughts
In Closing
I will still incorporate microdosing into my life in varying degrees.
I know my doses as well as my tendencies.
I’ll keep doing my research but for now I’m good with my rhythm of microdosing.
I feel it helps so it stays for now.
I will still incorporate microdosing into my life in varying degrees.
I know my doses as well as my tendencies.
I’ll keep doing my research but for now I’m good with my rhythm of microdosing.
I feel it helps so it stays for now.
Microdosing has its benefits & drawbacks.
The potential is promising but we still don't know the long term implications.
Tread lightly and always DYOR.
Hope you enjoyed this.
The potential is promising but we still don't know the long term implications.
Tread lightly and always DYOR.
Hope you enjoyed this.
Thank you for the overwhelming support in the DM’s & comments.
If you want to learn more or support the cause please check out MAPS. They are are the forefront of psychedelic research. https://maps.org/
If you want to learn more or support the cause please check out MAPS. They are are the forefront of psychedelic research. https://maps.org/
I've been getting a ton of questions in my DM's so I thought I'd address them here:
1. I do not have a source for mushrooms or LSD. I cannot help you there
If you do end up procuring them I'd suggest to run your LSD/mushrooms under a test kit for purity: https://testkitplus.com/
1. I do not have a source for mushrooms or LSD. I cannot help you there
If you do end up procuring them I'd suggest to run your LSD/mushrooms under a test kit for purity: https://testkitplus.com/
In terms of how much you should dose I cannot say.
For me, I started on the low side with LSD. About half of a tenth of a dose.
For mushrooms I started at a tenth & worked up to 2 tenths.
For me, I started on the low side with LSD. About half of a tenth of a dose.
For mushrooms I started at a tenth & worked up to 2 tenths.
I would always err on the conservative side when dosing because you can always ramp it up but you can never tone it down.
Read on Twitter