This is a thread of COVID-19 CXR (all SARS-CoV-2 PCR+) from my hospital (Spain). I hope it could help.
Case 1. 68yo female. Cough and fever.
                    
                                    
                    
                    
                                    
                    
                    
                                    
                    
                    
                                    
                    
                    
                                    
                    
                    
                                    
                    
                    
                                    
                    
                    
                                    
                    
                    
                                    
                    
                    
                                    
                    
                    
                                    
                    
                    
                                    
                    
                    
                                    
                    
                    
                                    
                    
                    
                                    
                    
                    
                                    
                    
                    
                                    
                    
                    
                                    
                    
                    
                                    
                    
                    
                                    
                    
                    
                                    
                    
                    
                                    
                    
                    
                                    
                    
                    
                                    
                    
                    
                                    
                    
                    
                                    
                    
                    
                                    
                    
                    
                                    
                    
                    
                                    
                    
                    
                                    
                    
                    
                                    
                    
                    
                                    
                    
                    
                                    
                    
                    
                                    
                    
                    
                                    
                    
                    
                                    
                    
                    
                                    
                    
                    
                                    
                    
                    
                                    
                    
                    
                                    
                    
                    
                                    
                    
                    
                                    
                    
                    
                                    
                    
                    
                                    
                    
                    
                                    
                    
                    
                                    
                    Case 1. 68yo female. Cough and fever.
                        
                        
                        Case 46. 56yo male. Cough and fever. Previous CXR (normal; 2018), day 1 and day 5 (peripheral opacities with left predominance; progression towards extensive consolidation).
                        
                        
                        
                        
                                                    
                            
                                                
                    
                    
                                    
                    
                        
                        
                        Case 47. 54yo male. Cough and fever. Day 1, 5 (acute respiratory failure), 7 and 9. Small peripheral opacities with progresion toward extensive bilateral consolidation.
                        
                        
                        
                        
                                                    
                            
                                                
                    
                    
                                    
                    
                    
                                    
                    
                        
                        
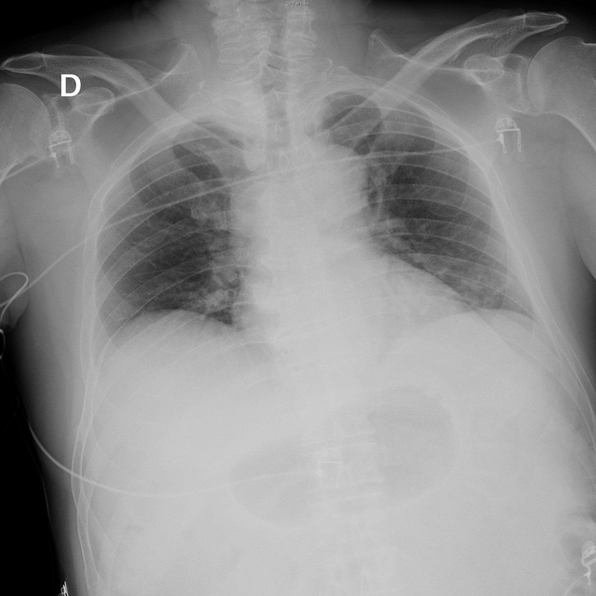
                        Case 49. 66yo male. Cough and fever. Previous normal CXR (year 2005) and actual. Evident opacity in the left middle lung field and subtle in LLL and RUP.
                        
                        
                        
                        
                                                    
                            
                                                
                    
                    
                                    
                    
                    
                
                 
                         Read on Twitter
Read on Twitter 
                             
                                         
                                         
                                         
                                         
                                         
                                         
                                         
                                         
                                         
                                         
                                         
                                         
                                         
                                         
                                         
                                         
                                         
                                         
                                         
                             
                                         
                                         
                                         
                                         
                                         
                                         
                                         
                                         
                                         
                                         
                                         
                                         
                                         
                                         
                                         
                                         
                             
                                         
                                         
                                         
                                         
                                         
                                         
                                         
                                         
                                         
                                         
                                         
                                         
                                         
                                         
                                         
                                         
                                         
                                         
                                         
                                         
                                         
                                         
                                         
                             
                                         
                                         
                                         
                                         
                             
                                         
                                         
                                         
                                         
                                         
                                         
                                         
                                         
                                         
                                         
                                         
                                         
                                         
                                         
                                         
                                         
                                         
                                         
                                         
                                         
                                         
                                         
                                         
                                         
                             
                             
                             
                                         
                                         
                                         
                                         
                                         
                                         
                                         
                                         
                                         
                                         
                                         
                                         
                                         
                                         
                                         
                                         
                                         
                                         
                             
                                         
                                         
                                         
                                         
                                         
                                         
                                         
                                         
                                         
                                         
                                         
                                         
                                         
                                         
                                         
                                         
                             
                                         
                                         
                                         
                                         
                                     
                                    