#lymphomafacts - Burkitt-1
Dennis Burkitt - #medicalhero
- missionary surgeon Uganda
- 1953: described children with jaw tumours
- worked out link with malaria
- cell culture to Epstein who saw inclusions, EBV discovered
- other discovery: low fibre in diet bad for you!
#lymsm
Dennis Burkitt - #medicalhero
- missionary surgeon Uganda
- 1953: described children with jaw tumours
- worked out link with malaria
- cell culture to Epstein who saw inclusions, EBV discovered
- other discovery: low fibre in diet bad for you!
#lymsm
#lymphomafacts - Burkitt-2
3 main types
1. Endemic (equatorial Africa, children, jaw and face, EBV+, malaria is co-factor)
2. Sporadic ( EBV less common, sites: terminal ileum, Breast, CNS, marrow)
3. Immunosupp related (HIV or post-transplant)
#lymsm #lymphoma
3 main types
1. Endemic (equatorial Africa, children, jaw and face, EBV+, malaria is co-factor)
2. Sporadic ( EBV less common, sites: terminal ileum, Breast, CNS, marrow)
3. Immunosupp related (HIV or post-transplant)
#lymsm #lymphoma
#lymphomafacts - Burkitt-3
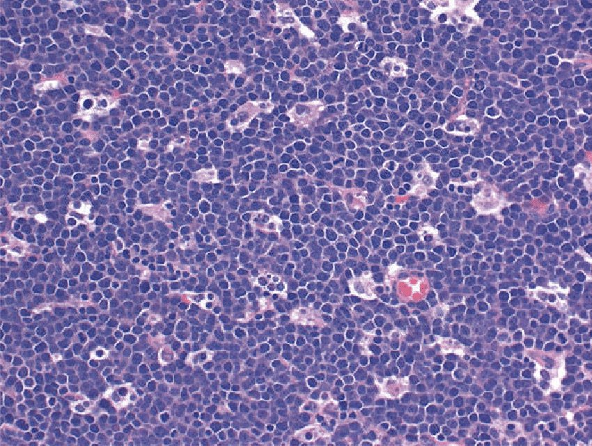
Classic germinal centre derived:
- CD10+ BCL2- (or weak), BCL6+, CD20/79a+
- medium sized blastic cells
- most rapidly prolif cancer known to man: prolif index 100%
- ‘starry sky’ histology: tumour cells the dark sky; tingible body macrophages
#lymsm
Classic germinal centre derived:
- CD10+ BCL2- (or weak), BCL6+, CD20/79a+
- medium sized blastic cells
- most rapidly prolif cancer known to man: prolif index 100%
- ‘starry sky’ histology: tumour cells the dark sky; tingible body macrophages
#lymsm
#lymphomafacts - Burkitt-4
Interesting molecular biology:
- Myc transloc charateristic: t(8;14) - IgVH partner 85%
- rare: t(2;8) - IgK gene; t(8;22) - IgLgene 15% combined
- other translocations should NOT be present
- TCF3 and ID3 mutations found
#lymsm
Interesting molecular biology:
- Myc transloc charateristic: t(8;14) - IgVH partner 85%
- rare: t(2;8) - IgK gene; t(8;22) - IgLgene 15% combined
- other translocations should NOT be present
- TCF3 and ID3 mutations found
#lymsm
#lymphomafacts - Burkitt-5
Beware tumour lysis syndrome when treating
- raised PO4, K, creat, urate
- low calcium
Mx principles:
- rasburicase (check G6PD if male)
- fluids
- regular bloods
- correct high K
- do NOT give calcium unless symptomatic
- possible dialysis
#lymsm
Beware tumour lysis syndrome when treating
- raised PO4, K, creat, urate
- low calcium
Mx principles:
- rasburicase (check G6PD if male)
- fluids
- regular bloods
- correct high K
- do NOT give calcium unless symptomatic
- possible dialysis
#lymsm
#lymphomafacts - Burkitt-6
Ian Magrath from NCI made major progress in treatment
- CHOP is not effective in Burkitt
- high prolif index so needs hyerfractionated or infusional chemo
- CODOX-M has hyperfrac cyclo days1-5
- HD MTX and ITs give CNS cover
- 92% cure in young pts
Ian Magrath from NCI made major progress in treatment
- CHOP is not effective in Burkitt
- high prolif index so needs hyerfractionated or infusional chemo
- CODOX-M has hyperfrac cyclo days1-5
- HD MTX and ITs give CNS cover
- 92% cure in young pts
#lymphomafacts - Burkitt-7
R-CODOX-M/R-IVAC challenging regimen:
- prolonged neutropenia
- beware effusions: prolong MTX exposure
- Ifos neurotox if low alb or raised creat
- many intrathecals
- 3xCODOX-M if low risk; 2xR-CODOX-M + 2xR-IVAC if high risk
http://nssg.oxford-haematology.org.uk/lymphoma/pdf-protocols/L-49-r-codox-m-r-ivac.pdf
R-CODOX-M/R-IVAC challenging regimen:
- prolonged neutropenia
- beware effusions: prolong MTX exposure
- Ifos neurotox if low alb or raised creat
- many intrathecals
- 3xCODOX-M if low risk; 2xR-CODOX-M + 2xR-IVAC if high risk
http://nssg.oxford-haematology.org.uk/lymphoma/pdf-protocols/L-49-r-codox-m-r-ivac.pdf
#lymphomafacts - Burkitt-8
Other active regimens eg R-hyperCVAD. DA-EPOCH-R a step change:
- infusional chemo
- ITs give CNS proph / treatment - no IV MTX
- better tolerated esp in older patient
- need a line as infusing vesicants
- @RoschewskiMD - see fig
#lymsm
Other active regimens eg R-hyperCVAD. DA-EPOCH-R a step change:
- infusional chemo
- ITs give CNS proph / treatment - no IV MTX
- better tolerated esp in older patient
- need a line as infusing vesicants
- @RoschewskiMD - see fig
#lymsm
#lymphomafacts - Burkitt-9
To finish, true story when at a friends for a meal:
- friend: what's your job?
- me: lymphoma doc
- friend: my grandad has a lymphoma named after him
- me (thinks): can't be Hodgkin - too old!
- me: was your grandfather Denis Burkitt?
- friend: yes!
To finish, true story when at a friends for a meal:
- friend: what's your job?
- me: lymphoma doc
- friend: my grandad has a lymphoma named after him
- me (thinks): can't be Hodgkin - too old!
- me: was your grandfather Denis Burkitt?
- friend: yes!
Read on Twitter